RadInt


quinta-feira, 5 de abril de 2012

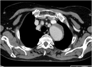
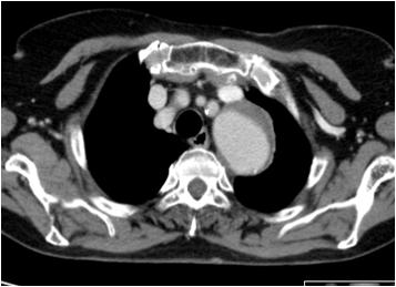
Caso 12 - Resposta




Dilatação Aneurismática da Aorta Torácica
Publicada por RadInt à(s) 12:00
Enviar a mensagem por emailDê a sua opinião!Partilhar no XPartilhar no FacebookPartilhar no Pinterest
Etiquetas: Torax

Sem comentários:

Enviar um comentário

Mensagem mais recente Mensagem antiga Página inicial
Subscrever: Enviar feedback (Atom)

Links

  • Sociedade Portuguesa de Radiologia e Medicina Nuclear
  • ECR
  • EuroRad
  • Radiological Society of North America

Arquivo do blogue

  • ▼  2012 (52)
    • ►  dezembro (1)
    • ►  novembro (6)
    • ►  outubro (3)
    • ►  setembro (6)
    • ►  julho (3)
    • ►  junho (4)
    • ►  maio (6)
    • ▼  abril (6)
      • Novembro . 2012
      • CIRSE | Cardiovascular and Interventional Radiolog...
      • ESMRMB CONGRESS 2012
      • Caso 12 - Resposta
      • CNR'2012 - Must-GO
      • Caso 12 - Urgência
    • ►  março (6)
    • ►  fevereiro (6)
    • ►  janeiro (5)
  • ►  2011 (31)
    • ►  dezembro (7)
    • ►  novembro (4)
    • ►  outubro (4)
    • ►  setembro (4)
    • ►  agosto (8)
    • ►  julho (4)

Acerca de mim

A minha foto
RadInt
Ver o meu perfil completo
Tema Espetacular, Lda.. Com tecnologia do Blogger.